Radial Head / Neck Fracturehttps://www.chelwest.nhs.uk/your-visit/patient-leaflets/surgery-services/radial-head-neck-fracturehttps://www.chelwest.nhs.uk/++resource++plone-logo.svg
Radial Head / Neck Fracture
You have been treated for a Radial Head / Neck Fracture. This leaflet explains how to look after your elbow at home
Radial Head / Neck Fracture: Discharge Advice
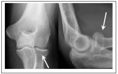
You have a very small break in the radial head or neck – one of the bones in your elbow.
These fractures almost always heal well with time and use – no specific treatment is required and therefore routine follow-up is unnecessary.
A sling will hold your elbow in a comfortable position for a few days.
You should wean yourself out of your sling as your pain settles and aim to remove the sling completely as soon as you feel able.
You may initially require regular pain killers as it is important to keep gently moving the elbow and gradually resume daily activities within the limits of discomfort. This will prevent stiffness and ensure the quickest return to normal function.
Forcible stretching is unnecessary and is likely to cause pain and delay to your recovery.
Symptoms are usually minor but may take up to 3-6 weeks to improve. We advise no heavy lifting for at least 6-8 weeks.
There may be slightly reduced movement at the elbow, especially on straightening, but this is unlikely to affect your function.
Should you have any worries or concerns following discharge from the hospital you can contact us:
If you are still in pain beyond this then please also discuss your follow up care with your GP.
If you are very concerned, then you may attend the A and E department however at this time we advise that you do this only if you are very concerned and it is an emergency. The A and E department will be occupied with patients requiring lifesaving treatment and it is important to allow these patients to access the care they need.
Returning to your usual activities
Resume light activities and reduce the duration you wear the sling. Avoid heavy lifting for 6-8 weeks and any racquet sports until your elbow feels supple, strong and pain free. Full straightening is often the slowest to return and may always remain restricted. If you are concerned or if your symptoms fail to improve, please either contact your GP or your physiotherapist, if you have been referred.
Elbow Injury Exercises
It is very important to start moving the injured elbow to prevent stiffness. The exercises need to be performed slowly; it may cause discomfort but if it’s very painful stop. You may find applying ice for up to 10-15 minutes following exercise helps with pain and swelling. Exercises should be performed 5 times a day during the day. It is also important you regularly move your wrist, shoulder and neck to prevent stiffness.